Abscessed Tooth: Causes, Symptoms, Treatments, And Prevention

Summary
Key Takeaways
- An abscessed tooth is a pocket of pus caused by a bacterial infection.
- Common causes include untreated cavities, gum disease, or dental trauma.
- Symptoms may include severe pain, swelling, fever, and bad taste or bad breath in the mouth.
- Treatments often involve draining the abscess, root canal therapy, or tooth extraction.
- Good dental hygiene and regular checkups can help prevent tooth abscesses.
- If you suspect a tooth infection, see a dental professional immediately. It won’t go away on its own.
Table of Contents

This blog has been reviewed and approved by Dr Robert Lee, a dental professional of 35 years
LEARN MORE >Key Takeaways
What Is an Abscessed Tooth?

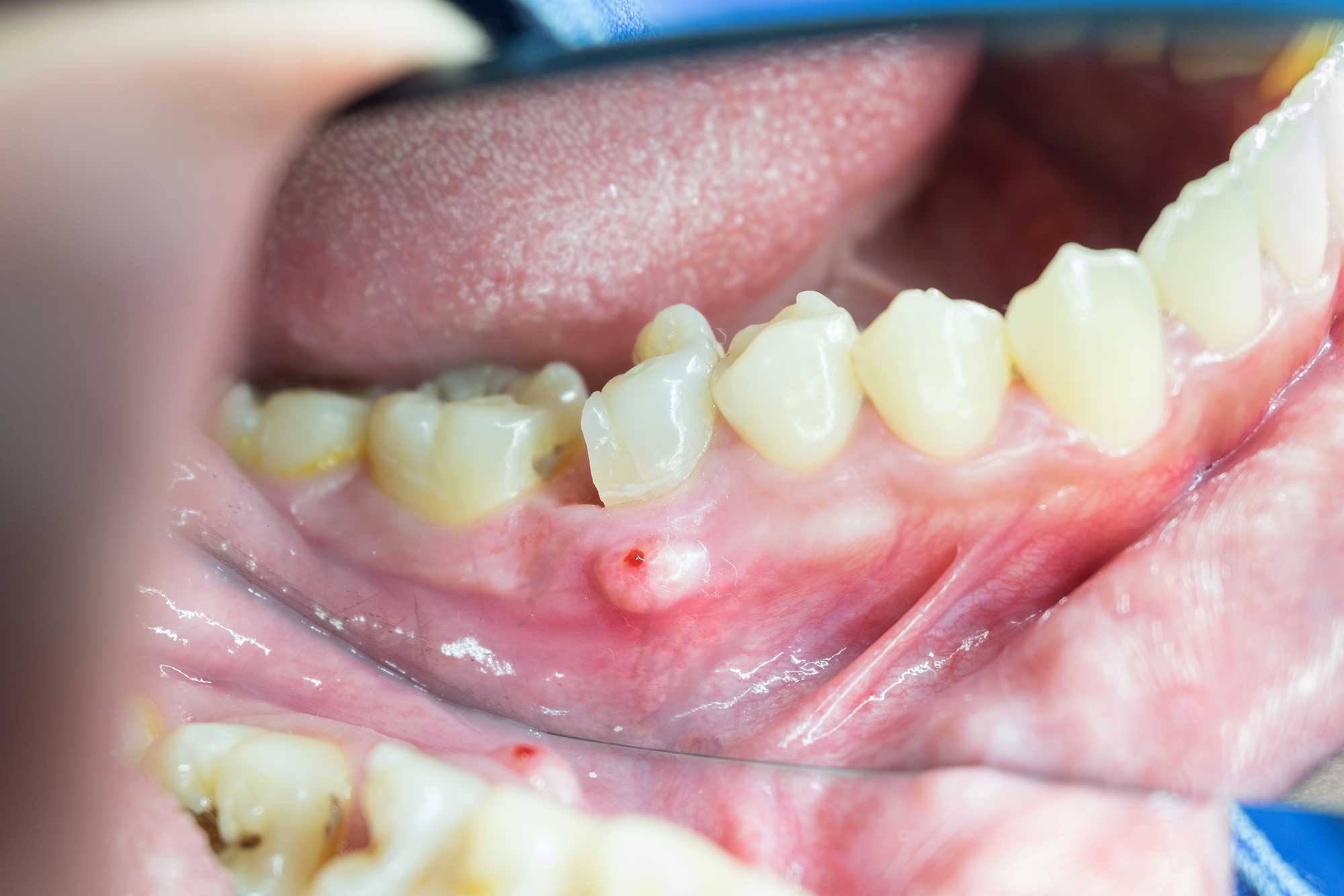
An abscessed tooth happens when a bacterial infection creates a pocket of pus somewhere near a tooth. This pocket can form at the tip of the root (called a periapical abscess) or in the gums beside the root (a periodontal abscess). Common causes include untreated cavities, gum disease, or dental trauma.
According to the American Dental Association (ADA), tooth abscesses are primarily caused by bacterial infections that enter the tooth through decay, cracks, or gum disease. These infections can lead to the death of the tooth's pulp, causing pus to accumulate and form an abscess. The infection is serious and isn't something you want to ignore. It can cause serious discomfort and spread to other areas if it is not treated quickly.
Causes
A variety of factors can cause an abscessed tooth. Despite the range of causes, most of them start the same way, with bacteria finding their way inside your tooth or gum:
- Untreated Tooth Decay: When cavities go unchecked, the decay can reach the inner part of the tooth (the pulp), where nerves and blood vessels live. It's an ideal breeding ground, and bacteria thrive here, leading to infection.
- Gum Disease: Advanced gum disease (also called periodontitis) can cause deep pockets between your teeth and gums, giving bacteria an easy pathway to infect the roots of your teeth.
- Cracked or Broken Teeth: If a tooth cracks or breaks, causing even just a hairline fracture, bacteria can slip in there. This often happens during sports injuries, falls, or even when chewing hard foods.
- Dental Procedures Gone Wrong: Although rare, complications from dental work can sometimes create an entry point for infection. Regular follow-up visits with your dental professional are important for monitoring existing dental work and ensuring proper healing.
- Weakened Immune System: People with health issues like diabetes or those undergoing chemotherapy may be more prone to infections, which can include dental abscesses.
Symptoms

So, you have a toothache. How can you tell if it's just an ache or something more serious, like an abscess? It's tricky because the symptoms of a tooth abscess can range from mild to severe. Some people might not feel much at all in the beginning, but the discomfort can often ramp up fast. Here are a few things you might want to consider:
- Is there a throbbing or sharp tooth pain that gets worse over time or when you bite down?
- Do you notice swelling in your face or cheek, especially around the affected tooth?
- Can you see red, swollen gums or a visible bump near the tooth?
- Do you notice a bad taste in your mouth or foul-smelling breath?
- Do you have a fever or swollen lymph nodes?
- Is there a sensitivity to hot or cold foods?
- Do you have difficulty chewing or swallowing?
Any of these are worthy of seeking a professional opinion. If the pain suddenly goes away, don't assume the infection is gone. It may just mean the nerve inside the tooth has died, but the infection could still be spreading. As with any tooth pain that lingers or ramps up, seeing your dentist is crucial. Knowing is the first step toward treatment.
Treatment

When it comes to abscess, seeing a dentist quickly is essential. Time is of the essence. Treatments usually focus on removing the infection and saving the tooth if possible. Here are the main options:
- 1. Draining the Abscess The dentist may drain the pus using a small cut and clean out the infection. This is often a temporary fix, a first step before further treatment.
- 2. Root Canal Treatment This is one of the most common treatments for an abscessed tooth. The dentist removes the infected pulp, cleans the area, and seals it to prevent future infections. The American Association of Endodontists considers this a safe and effective way to save an abscessed tooth.
- 3. Tooth Extraction Unfortunately, if the tooth is too far gone to be saved, it most likely needs to be pulled. Your dentist will then discuss options with you, such as implants or bridges to replace it and keep your appearance and functionality intact.
- 4. Antibiotics These are sometimes prescribed to help clear up the infection, especially if it has spread. However, antibiotics alone won’t cure abscesses. They're usually used alongside one of these other treatments.
- 5. Pain Management Over-the-counter pain relievers like ibuprofen can help with the discomfort, but they won’t solve the problem. They provide short-term relief along the way to a permanent fix.
How to Prevent an Abscessed Tooth
Prevention is the best approach when it comes to tooth abscesses. Good oral hygiene and routine dental care go a long way. Here's how to protect yourself:
Brush and Floss Daily
Keep your teeth clean by brushing twice a day and flossing at least once a day. This helps remove plaque and food particles that feed harmful bacteria, which leads to tooth decay.
Use Fluoride Toothpaste
Fluoride strengthens your enamel, which makes it harder for bacteria to break through and cause cavities.
Limit Sugary Foods and Drinks
Sugar is a fuel for bacteria. So, try to reduce your intake of sugary foods such as soda, candy, and other sweets, especially sticky or chewy ones.
Visit the Dentist Regularly
Among other benefits, routine checkups every six months can help catch problems early. Your dentist and dental hygienist can spot cavities or gum disease before they lead to abscesses.
Wear a Mouthguard
If you play contact sports or grind your teeth at night, a custom-fitted mouthguard can prevent cracks and other damage.
Don't Ignore Tooth Pain
Even a slight toothache can be the start of something serious. If something feels off or if the pain doesn’t subside, make an appointment as soon as you can.
When to See a Dentist Immediately
An untreated abscess can spread to your jaw, neck, or even your brain. Prompt care can prevent complications and often save teeth. So don't delay. Call a dentist right away if you have:
- A persistent toothache
- Swelling in your face or gums
- Trouble swallowing or breathing
- Fever along with dental pain
Summary
An abscessed tooth is more than just a toothache—it's a pocket of pus caused by a bacterial infection deep inside your tooth or gums. Common causes include untreated cavities, gum disease, or dental trauma such as a cracked or broken tooth.
Symptoms may start as a toothache and progress to include severe pain, swelling, fever, bad taste in the mouth, or bad breath. If it turns out to be an abscess, treatments include draining the abscess, root canal therapy, or even tooth extraction, depending on the severity.
If left untreated, the infection can spread to other parts of the body, leading to more serious health problems. Fortunately, treatment is highly effective, especially when caught early. So, if you suspect a tooth infection, it's important to see a dental professional immediately.
The good news is that they're often preventable if you practice daily oral hygiene, eat smartly, and never skip your dental checkups.
Prevent Common Oral Health Issues for a Healthy Smile
Common oral health issues can include cavities and tooth decay, gum disease, staining and sensitivity. The main culprit of which is often plaque buildup—a sticky film of bacteria that forms on teeth. If not treated, these conditions can lead to tooth loss and may even affect your overall health.
By following a complete oral care routine, you can help nip these issues in the bud, for a stronger, healthier smile:
- Brush 2X/day with an Oral-B iO Electric Toothbrush: An electric toothbrush, like an Oral-B iO, helps remove up to 100% more plaque than a regular manual toothbrush.
- Protect Your Smile with Crest Pro-Health Toothpaste: Make sure to brush twice a day with a stannous fluoride toothpaste. Not only does it help fight cavities and tooth decay, a Crest toothpaste formulated with stannous fluoride such as Crest Pro Health (hyperlink) also keeps enamel strong, fights sensitivity, and offers round-the-clock protection from plaque buildup when you brush twice a day.
- Rinse with Crest Pro-Health Mouthwash: Swish with an antibacterial mouthwash to rinse away leftover plaque, support gum health and leave your mouth feeling clean and fresh.
- Pair String Floss with an Oral-B Water Flosser: Traditional flossing once daily is essential for dislodging plaque from tight spaces between teeth. Complementing your routine with a water flosser can further help wash away food particles and plaque buildup from around teeth and gums for an exceptionally clean feeling.
By following a thorough oral care routine at home and visiting your dental professional at least twice a year, you can reduce the risk of developing tooth decay, gum disease, and protect your smile for years to come.
FAQs
-
What does a tooth abscess look like?
-
Will a tooth abscess go away with antibiotics?
Sources
- https://www.mouthhealthy.org/all-topics-a-z/abscess
- https://www.aae.org/patients/dental-symptoms/abscessed-teeth/#:~:text=An%20endodontist%20will%20typically%20treat,and%20sealing%20the%20empty%20space
- https://www.webmd.com/oral-health/abscessed-tooth
- https://www.mayoclinic.org/diseases-conditions/tooth-abscess/symptoms-causes/syc-20350901
- https://my.clevelandclinic.org/health/diseases/24896-periapical-abscess
- https://www.ada.org/resources/ada-library/oral-health-topics/home-care
- https://www.cdc.gov/oral-health/prevention/oral-health-tips-for-adults.html
- https://my.clevelandclinic.org/health/treatments/16914-oral-hygiene
- https://www.mayoclinic.org/healthy-lifestyle/adult-health/in-depth/dental/
- https://www.nidcr.nih.gov/health-info/oral-hygiene
- Biesbrock, A. R., et al. (2025). Randomized clinical trial evaluating kinetic benefits of desensitizing agents: Magnitude, onset, and stability of relief. Journal of periodontology, 10.1002/JPER.24-0688. Advance online publication. https://doi.org/10.1002/JPER.24-0688
- He, T., et al. (2022). Novel findings on anti-plaque effects of stannous fluoride. American Journal of Dentistry, 35(6), 297-307. https://pubmed.ncbi.nlm.nih.gov/36508185/
- Kiesow, A., et al (2024). High-Resolution Characterization of Enamel Remineralization Using Time-of-Flight Secondary Ion Mass Spectrometry and Electron Microscopy. Caries Research, 58(4), 407-420. https://doi.org/10.1159/000535979
- Zou, Y., et al. (2024). A meta-analysis comparing toothbrush technologies on gingivitis and plaque. International Dental Journal, 74(1), 146-156. https://doi.org/10.1016/j.identj.2023.06.009
Table of Contents
- What Is an Abscessed Tooth?
- Causes
- Symptoms
- Treatment
- Summary
- Prevent Common Oral Health Issues for a Healthy Smile
-
- FAQs
- Sources

This blog has been reviewed and approved by Dr Robert Lee, a dental professional of 35 years
LEARN MORE >
Sign Up
for gum care tips, expert advice, and exclusive offers.
Sign Up
for gum care tips, expert advice, and exclusive offers.
